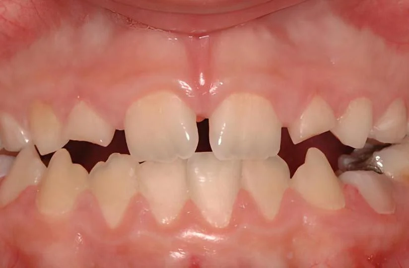
Casos reales

Rehabilitación integral

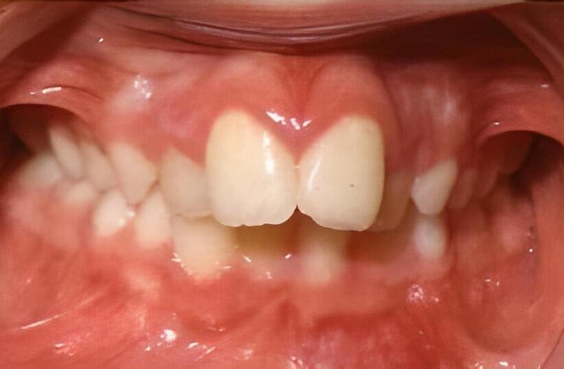
Mueve el cursor en cada fotografía para ver el antes y después

  • Coronas cerámicas en incisivos y caninos superiores, además de premolares y molares maxilares.
  • Implante dental colocado en el cuadrante inferior derecho.
  • Carillas de porcelana para los dientes antero-inferiores.
  • Coronas cerámicas en molares y premolares mandibulares.

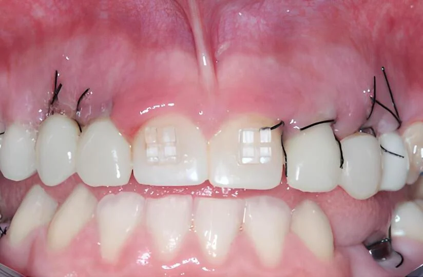
Implantes dentales

Mueve el cursor en cada fotografía para ver el antes y después

  • Coronas cerámicas en incisivos y caninos superiores, además de premolares y molares maxilares.
  • Implante dental colocado en el cuadrante inferior derecho.
  • Carillas de porcelana para los dientes antero-inferiores.
  • Coronas cerámicas en molares y premolares mandibulares.

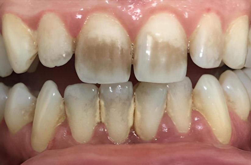
Coronas de zirconio

Mueve el cursor en cada fotografía para ver el antes y después

  • Coronas cerámicas en incisivos y caninos superiores, además de premolares y molares maxilares.
  • Implante dental colocado en el cuadrante inferior derecho.
  • Carillas de porcelana para los dientes antero-inferiores.
  • Coronas cerámicas en molares y premolares mandibulares.

Implantes dentales

Mueve el cursor en cada fotografía para ver el antes y después

  • Coronas cerámicas en incisivos y caninos superiores, además de premolares y molares maxilares.
  • Implante dental colocado en el cuadrante inferior derecho.
  • Carillas de porcelana para los dientes antero-inferiores.
  • Coronas cerámicas en molares y premolares mandibulares.

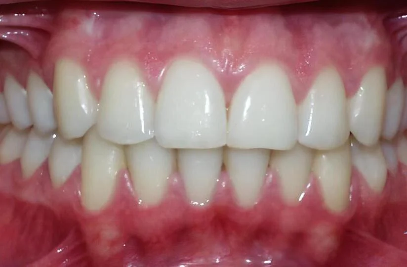
Estética dental

Mueve el cursor en cada fotografía para ver el antes y después

  • Coronas cerámicas en incisivos y caninos superiores, además de premolares y molares maxilares.
  • Implante dental colocado en el cuadrante inferior derecho.
  • Carillas de porcelana para los dientes antero-inferiores.
  • Coronas cerámicas en molares y premolares mandibulares.